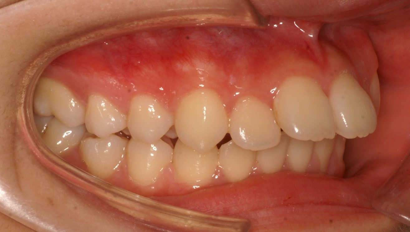
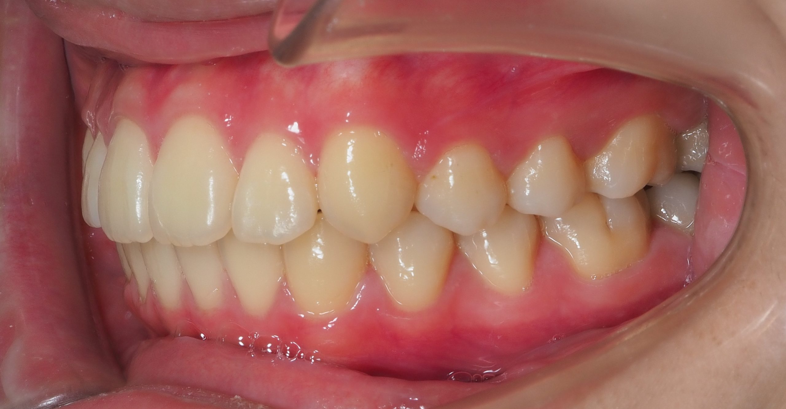
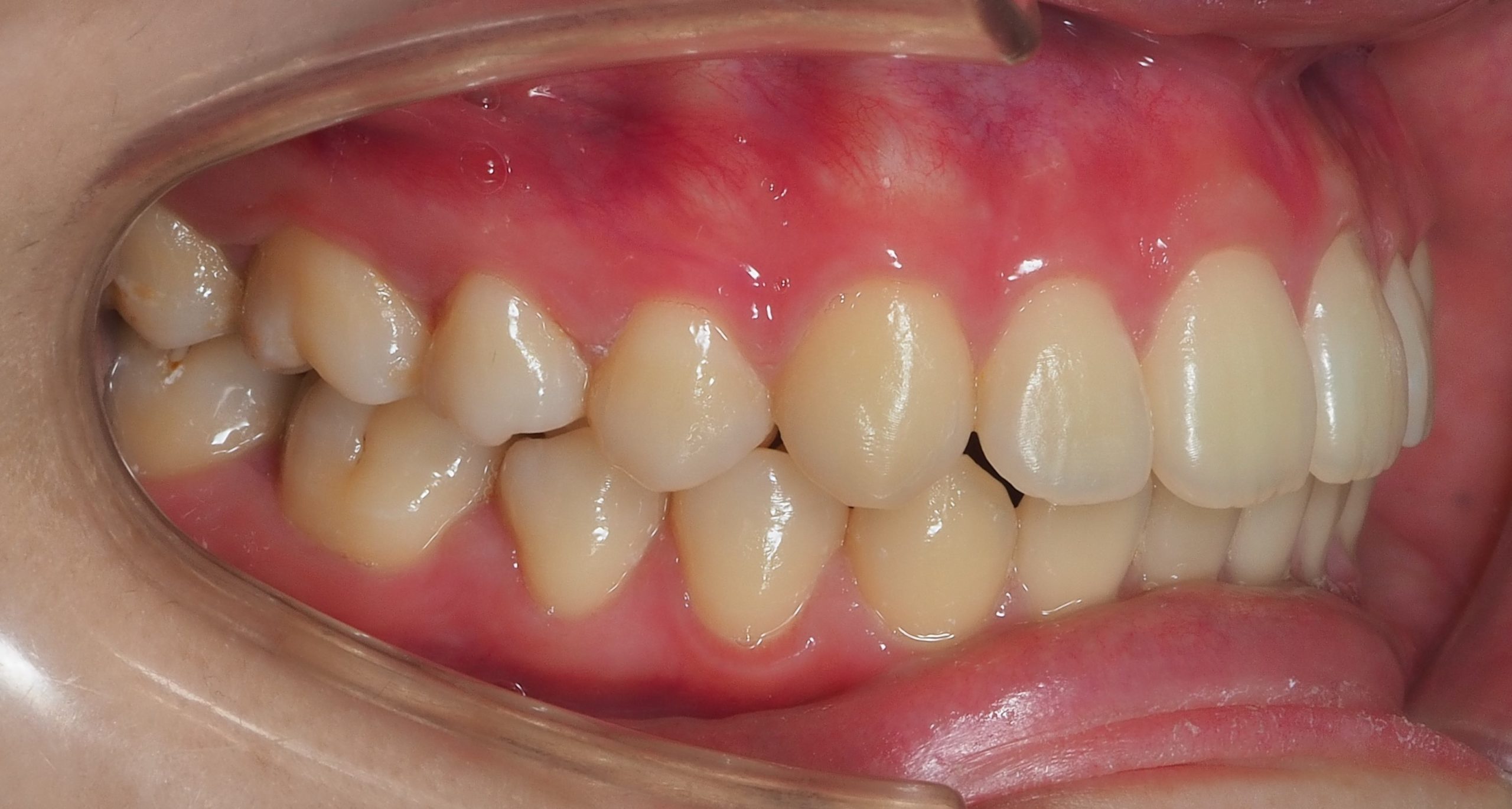
20代女性「出っ歯を治したい」ワイヤー矯正で出っ歯を治療した症例
治療前

治療後

治療前


治療後



| 主訴 | 「出っ歯を治したい」とご相談いただきました。 |
|---|---|
| 診断 | 診断したところ、上顎前突(上下の前歯が前に傾斜していたり、上下顎全体が前に出ていたりする咬み合わせ)の状態でした。 |
| 治療内容 | 大臼歯の後方移動を確実に行うことを目的に、患者様のご希望に沿って、非抜歯によるワイヤー矯正治療を行いました。 |
| 年齢 | 20代女性 |
| 治療期間 | 3年1か月(35回) |
| 費用 | 治療費620,000円(その他に調整費・消費税が必要) |
| 術後の経過や現在の様子 | 治療結果にご満足いただいています。 |
| 治療のリスクについて | 遠心移動(歯列の中央から遠ざかる方向への移動)が不十分な場合は、抜歯治療が必要になります。 |

