17歳男性「でこぼこが気になる」前⻭の捻転をワイヤー矯正治療した症例
治療前


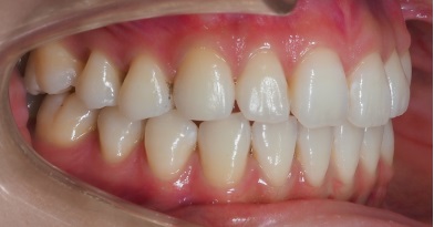
治療後


| 主訴 | 「でこぼこが気になる」とご相談いただきました。 |
|---|---|
| 診断 | 診察したところ、前⻭がねじれて生えてしまっている状態でした。抜⻭は避けたいとのご希望でした。 |
| 治療内容 | 非抜⻭による矯正治療法として、ワイヤー矯正治療を提案いたしました。 |
| 年齢 | 17歳男性 |
| 治療期間 | 2年8か月(29回) |
| 費用 | 治療費620,000円(その他に調整費・消費税が必要) |
| 術後の経過や現在の様子 | ご満足いただいており、経過も良好です。 |
| 治療のリスクについて | ⻭肉退縮などが見られることがあります。 |

